Signed in as:
filler@godaddy.com

Donors are stimulated with FSH to create a uniform population of follicles. Timing of FSH administration and ovum pick-up (OPU) collection are optimized to allow oocytes to be ready for fertilization when they reach the lab.

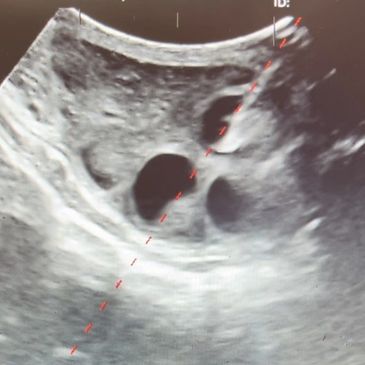
An OPU probe contains an ultrasound and needle guide, so that the ovary can be visualized then stabilized for aspiration.

An aspiration pump provides constant flow to retrieve oocytes from the follicle. Pump pressure is optimized to maximize oocyte recovery rate while maintaining oocyte quality.

A needle is guided through the OPU probe and follicles on the ovary are individually penetrated. The follicle contains both follicular fluid and an oocyte. Similar to embryos, the oocyte is too small to see with a naked eye.

Oocytes are graded based on the layers of cumulus cells, or supportive cells, around the oocyte. Cumulus cells are important to oocyte health and embryo development!

Oocytes are packaged in maturation tubes within an incubator and sent to the Bovineq lab in Madison, WI for fertilization and development.

Embryos can be shipped fresh for transfer or frozen at the lab and shipped to your destination of choice.
Applied when donors are NOT on a current program of consecutive collections; ex after a collection for observation and or breeding
IVF cycle resulting in less than two viable embryos produced will be discounted to $225 per mating, applicable only once per donor.
One bull sorted to fertilize one donor: $500 per donor
One bull sorted to fertilize two or more donors: $300 per donor
Frozen embryos can be shipped to the destination of your choice. Dry Shipper rental fee is $125/shipment. If planned in advance, we should be able to coordinate shipments of frozen embryos back to Bishop Reproductive Services at no additional cost.
When oocytes are shipped to the lab, this fee will be divided among all donors scheduled for the day. Fresh embryos sent back to Bishop Repro will also incur an incubator rental fee.
Folltropin is the only available form of follicle stimulating hormone (FSH) in the United States at this time.
call for pricing

Email us at bishoprepro.ivf@gmail.com to schedule an OPU collection
Donor housing for IVF includes daily care and feeding as well as DFR, management of superovulation, and OPU. Donors are housed in small groups of 3-6 head.
Donor Housing Schedule: Donors must be dropped off 2-3 weeks prior to OPU collection. Donors are pre-synched two weeks prior to collection with a CIDR and GnRH, then dominant follicle removal (DFR) is performed a week prior to OPU to reset the follicular wave in preparation for FSH injections and aspiration.